+918042781812
Currently it only shows your basic business info. Start adding relevant business details such as description, images and products or services to gain your customers attention by using Boost 360 android app / iOS App / web portal.

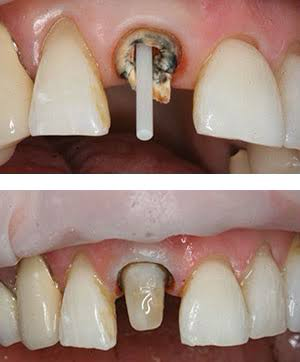
Dr. Shashi’s Dental Shine & Skin Care in Banjara Hills, Road No. 5, offers the best Post and Core dental treatment to restore teeth that have lost strength after root canal therapy. With advanced techniques and expert care, we ensure long-lasting support for your crown, improving both function and appearance. Visit us for painless, affordable, and high-quality dental care